治療するなら、より美しく治したい。美しく健康な歯で生き生きと毎日を過ごしたいというニーズから生まれたのが、審美歯科です。
明石市の歯科医院(歯医者)川畑歯科医院では皆様の歯をより自然で美しくするため、審美歯科(オールセラミック治療・メタルフリー治療・ノンメタル治療)や、ホワイトニングなどに対応致しております。
審美歯科は、審美性を重視した歯科治療ですが、明石市の歯科医院(歯医者)川畑歯科医院では、審美性だけではなく、歯のことも考えた上で審美歯科治療を行なっておりますので、安心してご来院下さい。
変色した前歯や奥歯の金属が気になりませんか?
機能を修復するだけでなく、本来の自然な美しい歯のように修復する審美補綴が注目されています。
審美歯科・セラミック治療は明石市の歯科医院(歯医者)川畑歯科医院へ/審美歯科・セラミック治療対応の歯科医院(歯医者)
![]() |
インレーとは、虫歯を削り取った後の歯に埋める詰め物です。 インレー(詰め物)には従来アマルガムや金属が使用されてきましたが、黒く目立ち、見た目にはよくありませんでした。セラミックを使用することにより、治療箇所が目立たず、非常に健康的に見えます。 また、プラスチックで強度は劣りますが、保険内でも白い材料のインレーを製作することは可能です。 |
|---|
![]() |
クラウンとは、虫歯を削り取った後に歯の全体を覆う被せ物です。 セラミックを使用することで、金属や歯科用プラスチックでは得られない透明感のある白い歯の輝きを取り戻すことができますが、これは自費治療となります。 |
|---|
![]() |
保険診療でも白い歯にすることが可能です。 |
|---|
ノンメタル治療(オールセラミック治療)とは、金属を使わずにする治療のことです。前歯だけでなく、見えにくい奥歯も治療が可能です。歯とほぼ同じ硬さで、自然な咬み合せも得ることができます。
オールセラミックは、生体親和性の高いセラミック材料を使用し、患者様の歯に合わせてつくるオーダーメイドの冠です。 天然歯との見分けが難しいほど自然な色と輝きを得ることができ、時間を経てもその美しさが保たれます。セラミックと保険診療とを比べると、前歯の保険治療の場合、その材質は、プラスチック製の被せ物になります。
その為、経年的に変色しやすく、すり減ってしまいやすいですが、このようなデメリットはセラミックではありません。| 保険診療の場合 |
前歯治療の場合 |
材質:プラスチック製の被せ物 変色:経年的に変色しやすい 摩耗:すり減ってしまいやすい |
|
|---|---|---|---|
| セラミックの場合 | 材質:セラミック 変色:経年的に変色しにくい 摩耗:すり減りにくい |
||
オールセラミックにて審美歯科治療をお考えの方は、明石市の歯科医院(歯医者)川畑歯科医院に、是非ご来院下さい。
審美歯科・セラミック治療は明石市の歯科医院(歯医者)川畑歯科医院へ/審美歯科・セラミック治療対応の歯科医院(歯医者)
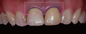
| ① | 15年前に入れた レジン前装冠(さし歯)歯肉の黒ずみが気になります。 前歯二本の横の歯のつめた所が、変色して黄色くなっています。 |
![]() |
|---|---|---|
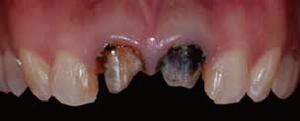
| ② | 差し歯を取ってみるとこの様に中で真っ黒な虫歯になっていました。 | ![]() |
| ③ | 虫歯を除去して、金属による色素沈着をできるだけ落とすためまた、歯の色を全体的に明るくする為にホワイトニングをします。 | ![]()
|
| ④ | ホワイトニングをしたら、前歯2本の横の色が浮いている所はセラミックの粉を含んだプラスティック(プレミス)でつめます。 | ![]() |
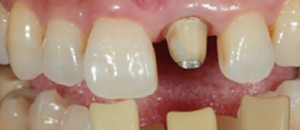
| ⑤ | 前歯の2本は、ファイバーポストという支柱をたてて、 歯をかぶせる土台もきれいにします。 そうすると、歯の透明感がアップします。 |
![]() |
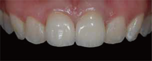
| ⑥ | オールセラミッククラウンが入りました。 透明感のある歯で、前の歯の色から2段階ほど白くなり、黒ずみが一切ありません。 一段と美スマイルに。 |
![]() |

| ① | 前歯をオールセラミックで作ります。 | ![]() |
|---|---|---|
| ② | 歯の色を調整します。 | ![]() |
| ③ | 自然な歯に見えるように造形します。 | ![]() |
| ④ | 自然な歯の造形と透明感で、違和感のない美しい歯になりました。 | ![]() |




































